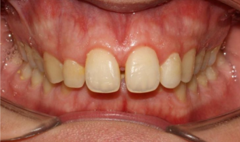
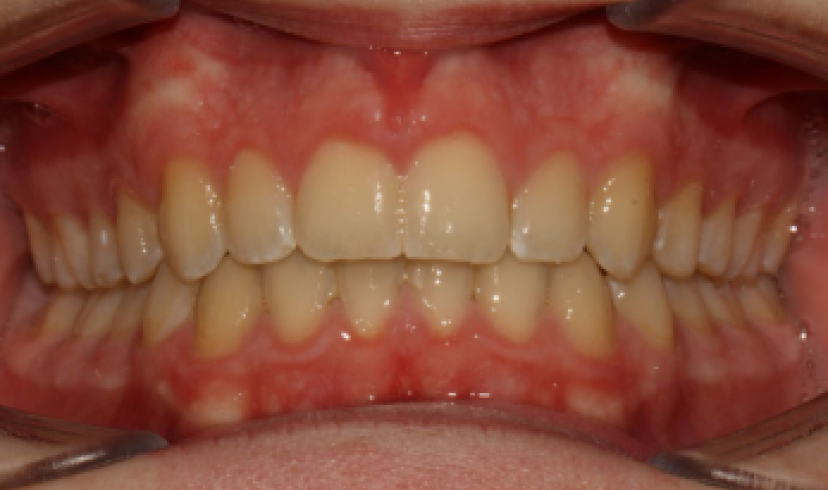
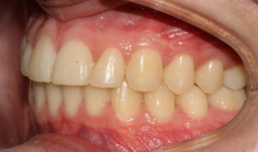
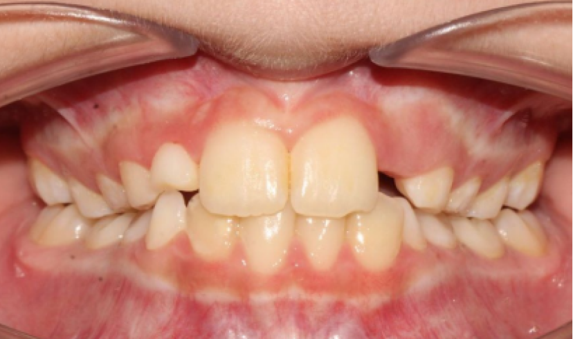
Après
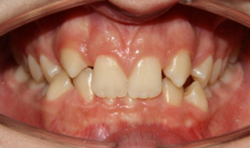
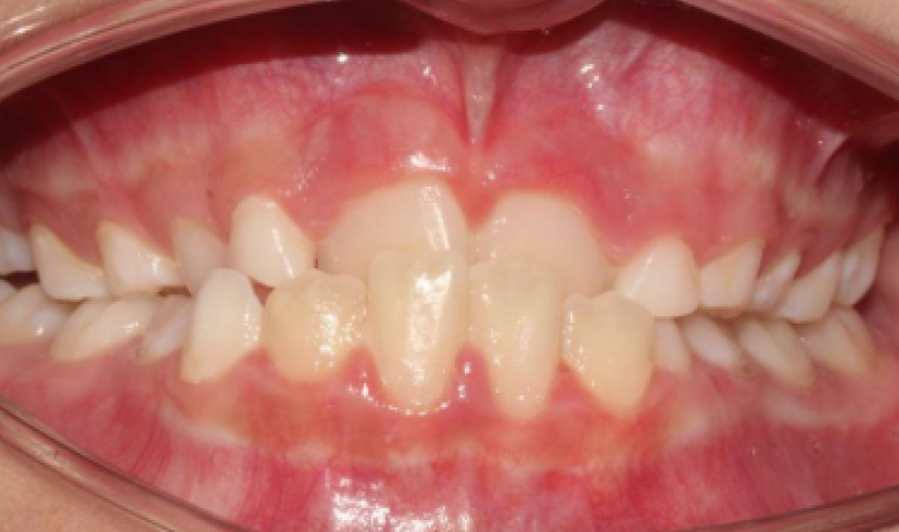
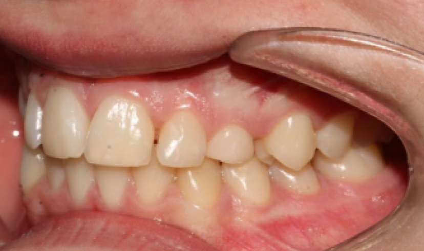
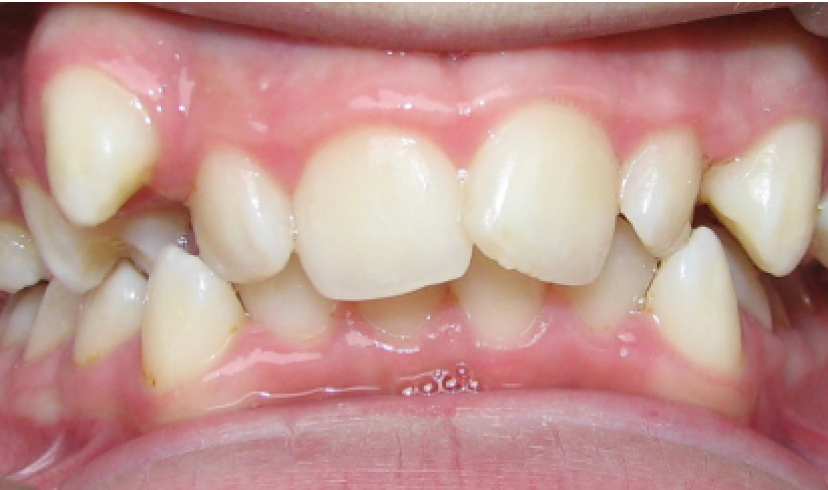
Avant
Traitements chez les enfants

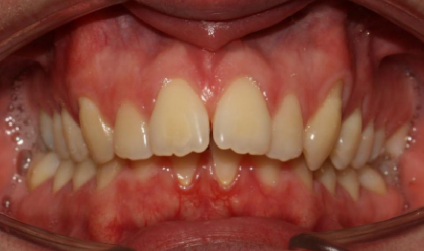
Infraclusion antérieure

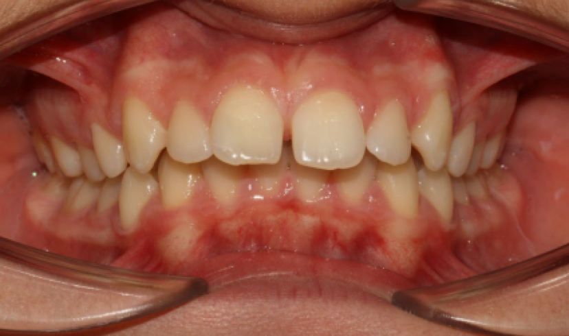
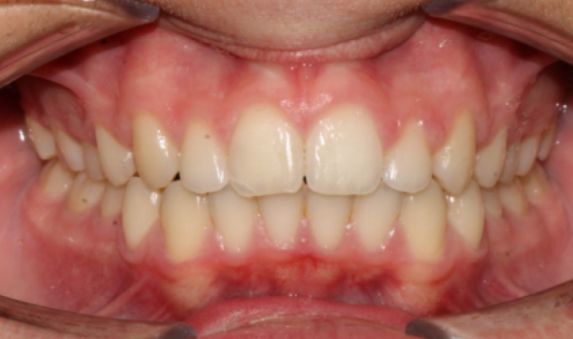
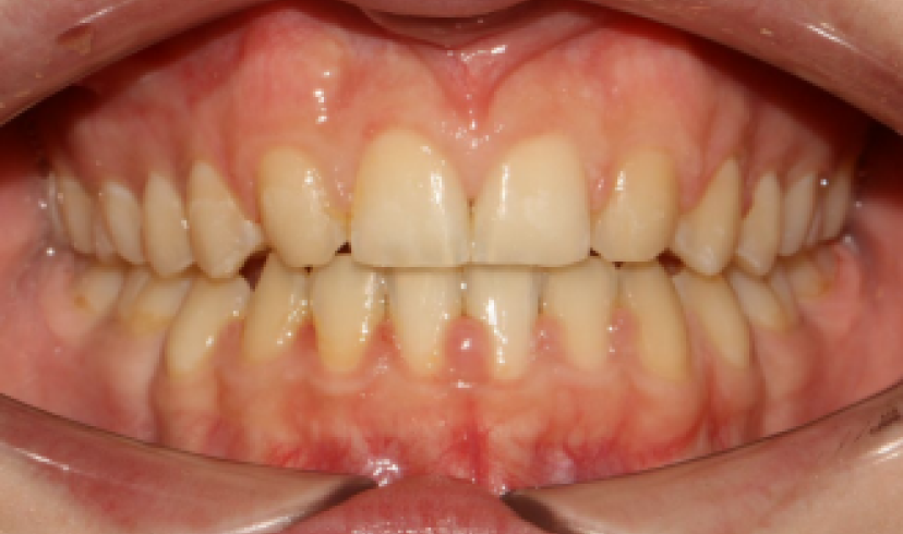
Après
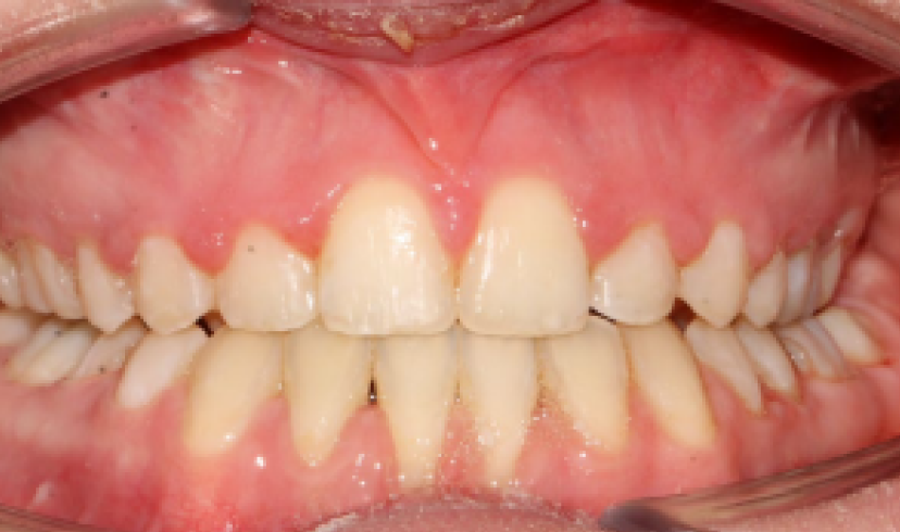
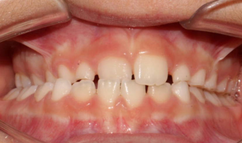
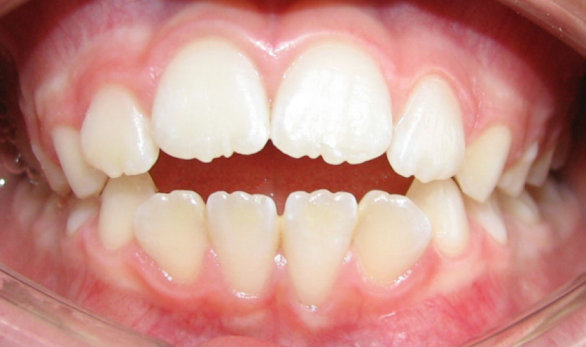
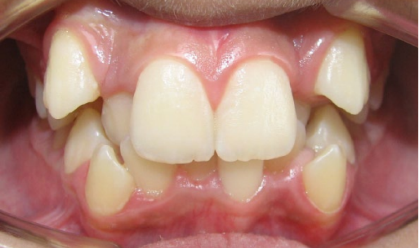
Avant
Traitements chez les enfants

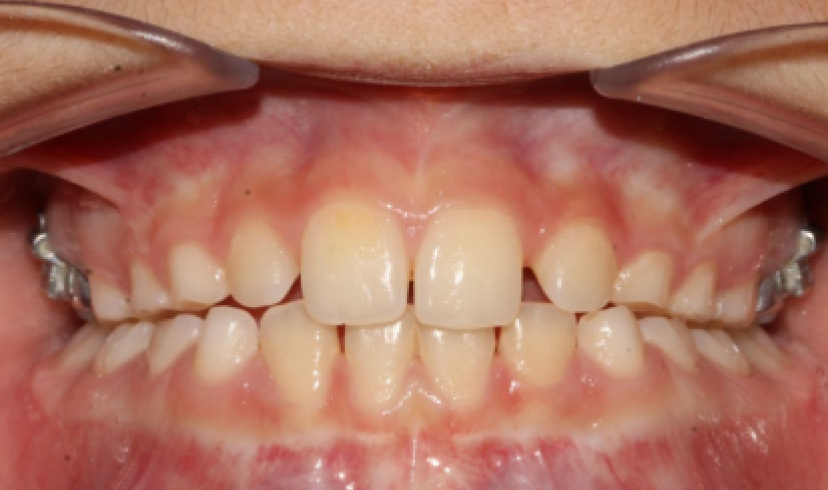
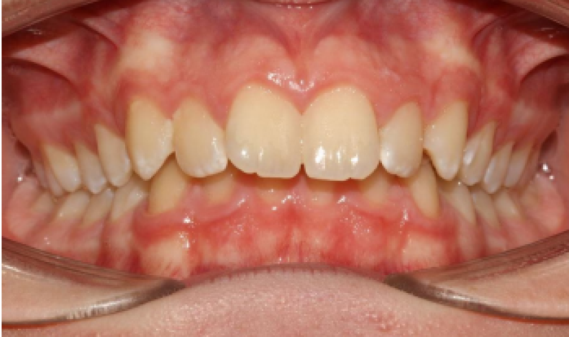
Occlusion inversée antérieure et proalvéolie

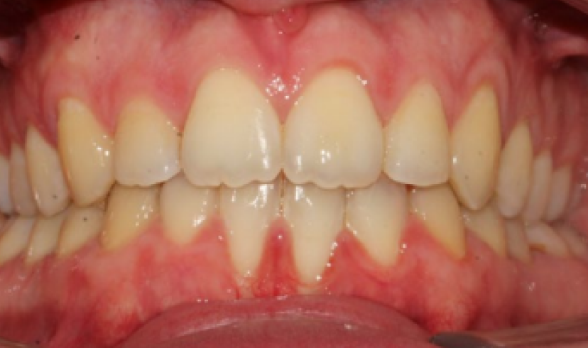
Après
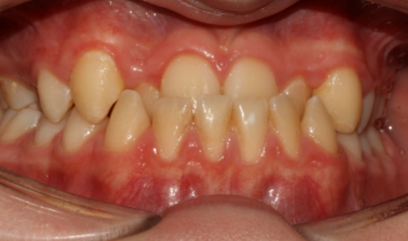
Avant
Traitements chez les enfants

Occlusion inversée antérieure et latérale

Après
Avant
Traitements chez les adolescents

Canine incluse

Après
Avant
Traitements chez les adolescents

Agénésies et extractions

Après
Avant
Traitements chez les adolescents

Orthopédie

Après
Avant
Traitements chez les adolescents

Classe II

Après
Avant
Traitements chez les adolescents

Classe III

Après
Avant
Traitements chez les adolescents

Encombrement

Après
Avant
Traitements chez les adolescents

Encombrement

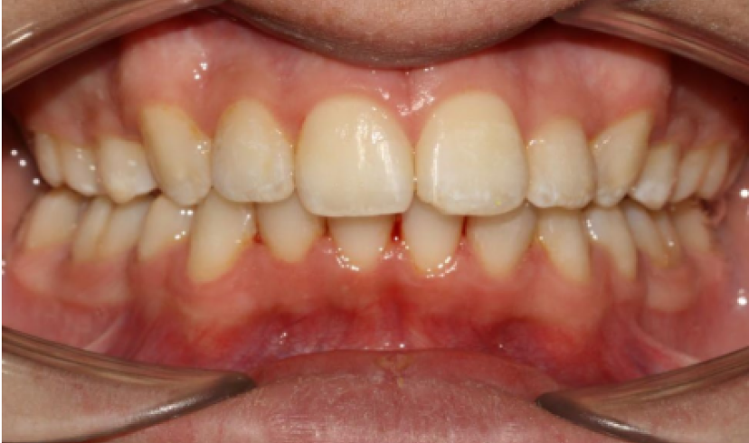
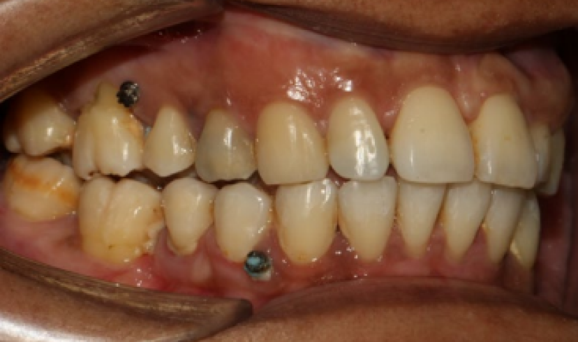
Après
Avant
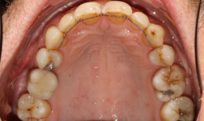
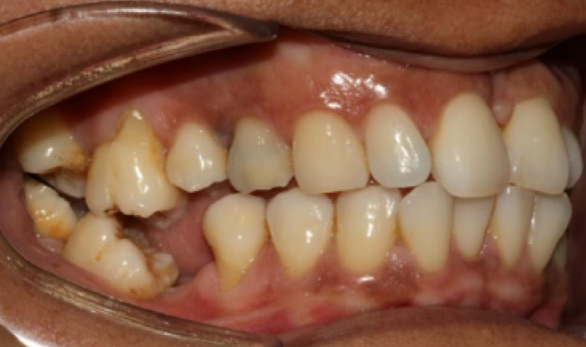
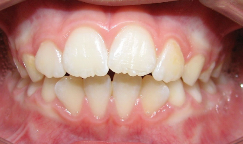
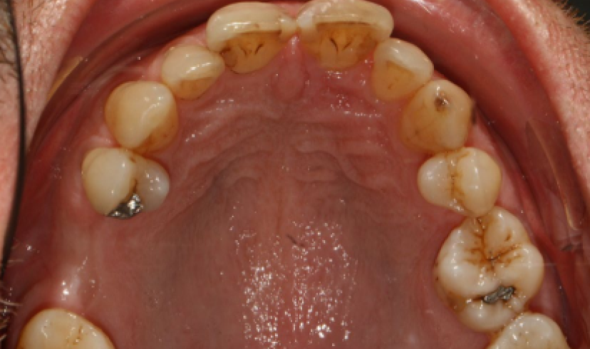
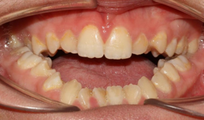
Traitements chez les adultes

Canine incluse et extractions

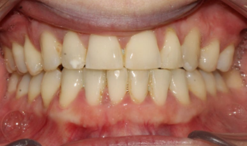
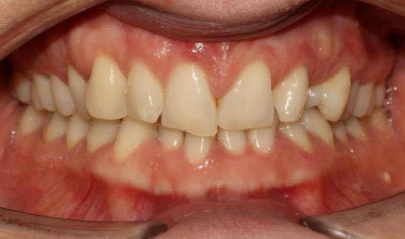
Après
Avant
Traitements chez les adultes

Encombrement et mini-implants

Après
Avant
Traitements chez les adultes

Aménagement d’espace pour un implant molaire

Après
Avant
Traitements chez les adultes

Aménagement d’espaces pour deux implants de canines

Après
Avant
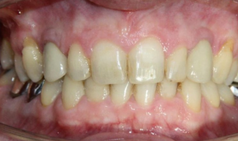
Traitements chez les adultes

Orthodontie et chirurgie

Après
Avant
Traitements chez les adultes

Orthodontie et chirurgie

Après
Avant
Traitements chez les adultes

Orthodontie et chirurgie

Retour