Le premier RDV
La première consultation est une prise de contact. Le praticien effectue un examen clinique complet, et détermine alors si le moment est venu de démarrer un traitement orthodontique. En fonction de la situation plusieurs possibilités peuvent de présenter :
- • Pas de besoin de traitement. Dans ce cas, plus de rendez-vous !
- • Un traitement paraît nécessaire, mais ce n’est pas encore le bon moment. Cela peut-être par exemple parce que des dents de lait sont encore présentes, ou bien si le patient n’est pas encore en pleine croissance. Dans ce cas, une surveillance est mise en place, avec des rendez-vous espacés tous les 6 mois, ou tous les ans, voire parfois tous les 2 ans, jusqu’à ce que le moment de débuter le traitement orthodontique se présente.
- • Un traitement paraît nécessaire, et c’est le bon moment.
Si tel est le cas nous aurons besoin d’établir un dossier complet afin de confirmer le diagnostic et le plan de traitement établis.
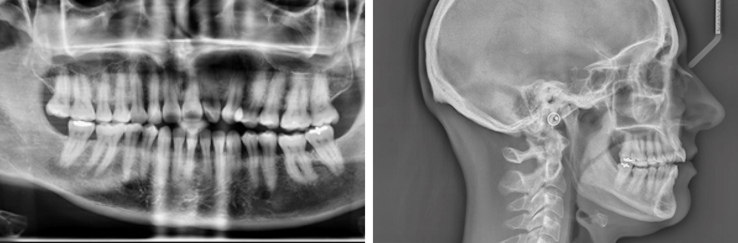
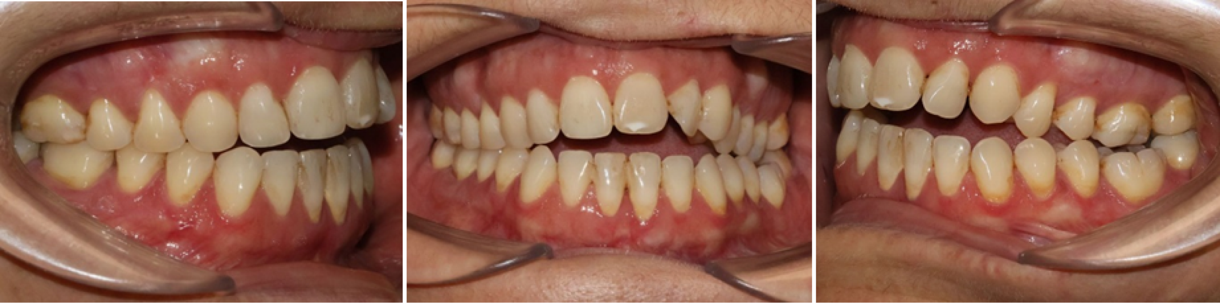
Un dossier diagnostic complet comprend :
- • Des radiographies

- • Des photographies



- • Des empreintes (3D)


En parallèle de ces éléments, nous vous expliquerons les différentes anomalies dento-maxillo-faciales décelées, et vous expliquerons en détails les moyens thérapeutiques destinés à les corriger, ainsi que la durée du traitement. Il convient également de vous expliquer tout le côté administratif d’un traitement orthodontique : devis, demande de prise en charge pour la sécurité sociale, etc… A l’issue du rendez-vous, nous vous proposerons un rendez-vous destiné à la mise en place des appareillages, rendez-vous qui marquera le début du traitement orthodontique.